Our collaboration with the Sapkota and Ganley Labs is now published in Cell Chemical Biology.
Highlights
- Ligand (L)-inducible AdPROM consists of Halo conjugated to a target protein binder
- Target protein is degraded with HaloPROTAC in cells expressing L-AdPROM construct
- HaloPROTAC-mediated target protein degradation using L-AdPROM system is reversible
- Degradation using HaloPROTAC L-AdPROM impacts target protein biological functionRead the Article open access here.
Title: Inducible Degradation of Target Proteins through a Tractable Affinity-Directed Protein Missile System
Authors: Luke M Simpson, Thomas J Macartney, Alice Nardin, Luke J Fulcher, Sascha Röth, Andrea Testa, Chiara Maniaci, Alessio Ciulli, Ian G Ganley, Gopal P Sapkota
Summary:
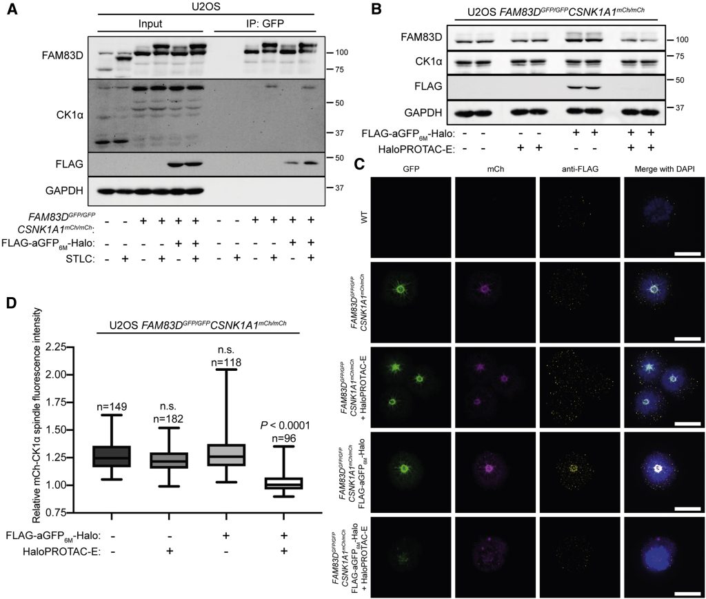
The affinity-directed protein missile (AdPROM) system utilizes specific polypeptide binders of intracellular proteins of interest (POIs) conjugated to an E3 ubiquitin ligase moiety to enable targeted proteolysis of the POI. However, a chemically tuneable AdPROM system is more desirable. Here, we use Halo-tag/VHL-recruiting proteolysis-targeting chimera (HaloPROTAC) technology to develop a ligand-inducible AdPROM (L-AdPROM) system. When we express an L-AdPROM construct consisting of an anti-GFP nanobody conjugated to the Halo-tag, we achieve robust degradation of GFP-tagged POIs only upon treatment of cells with the HaloPROTAC. For GFP-tagged POIs, ULK1, FAM83D, and SGK3 were knocked in with a GFP-tag using CRISPR/Cas9. By substituting the anti-GFP nanobody for a monobody that binds H- and K-RAS, we achieve robust degradation of unmodified endogenous RAS proteins only in the presence of the HaloPROTAC. Through substitution of the polypeptide binder, the highly versatile L-AdPROM system is useful for the inducible degradation of potentially any intracellular POI.
Congratulations to our collaborators Luke Simpson and colleagues in the Sapkota Lab and Ganley Lab. We are happy to have contributed to this work with our own HaloProtac-E, home-made by Andrea Testa and Chiara Maniaci. Read more on Twitter








