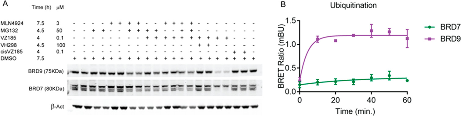
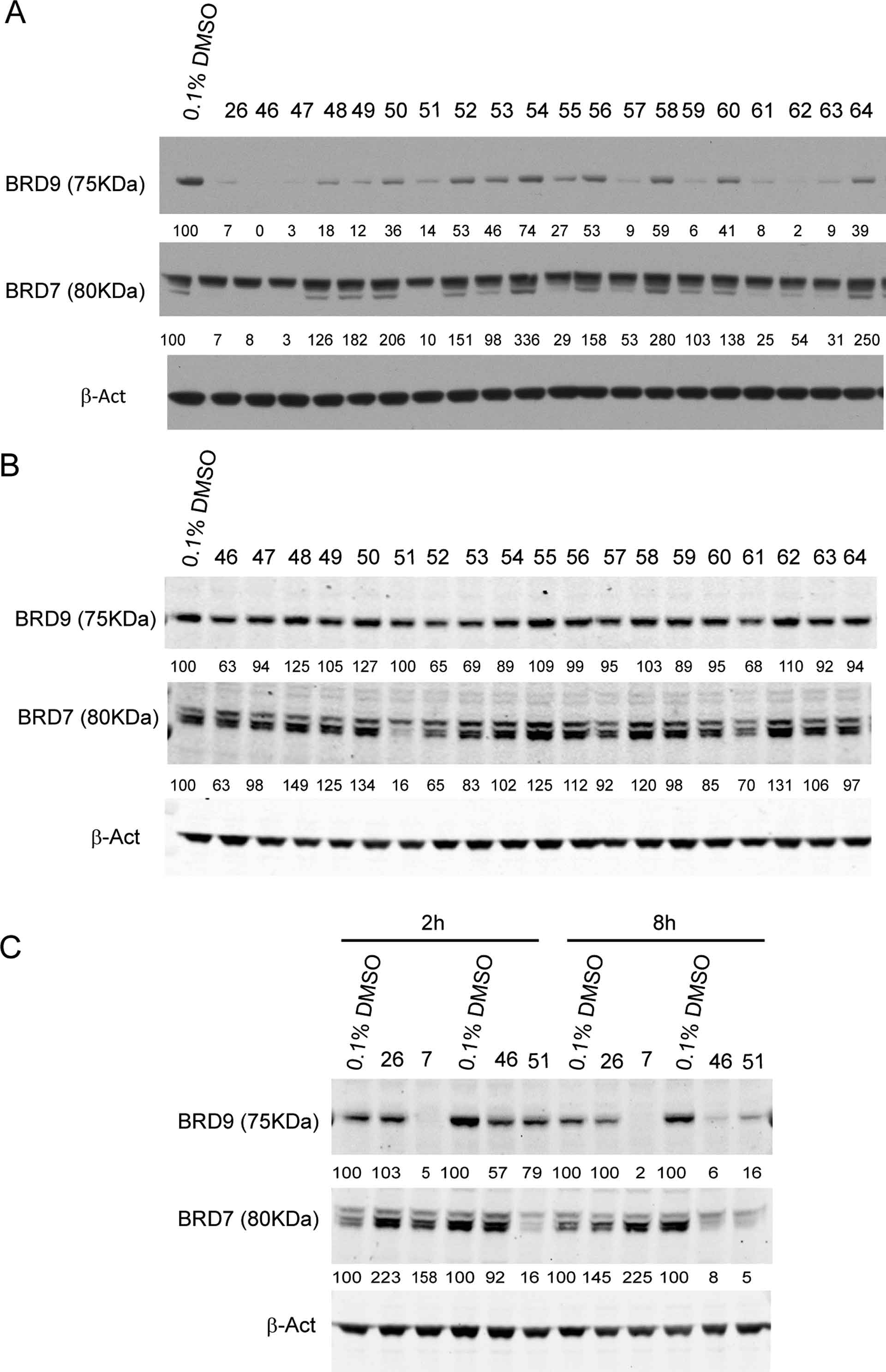
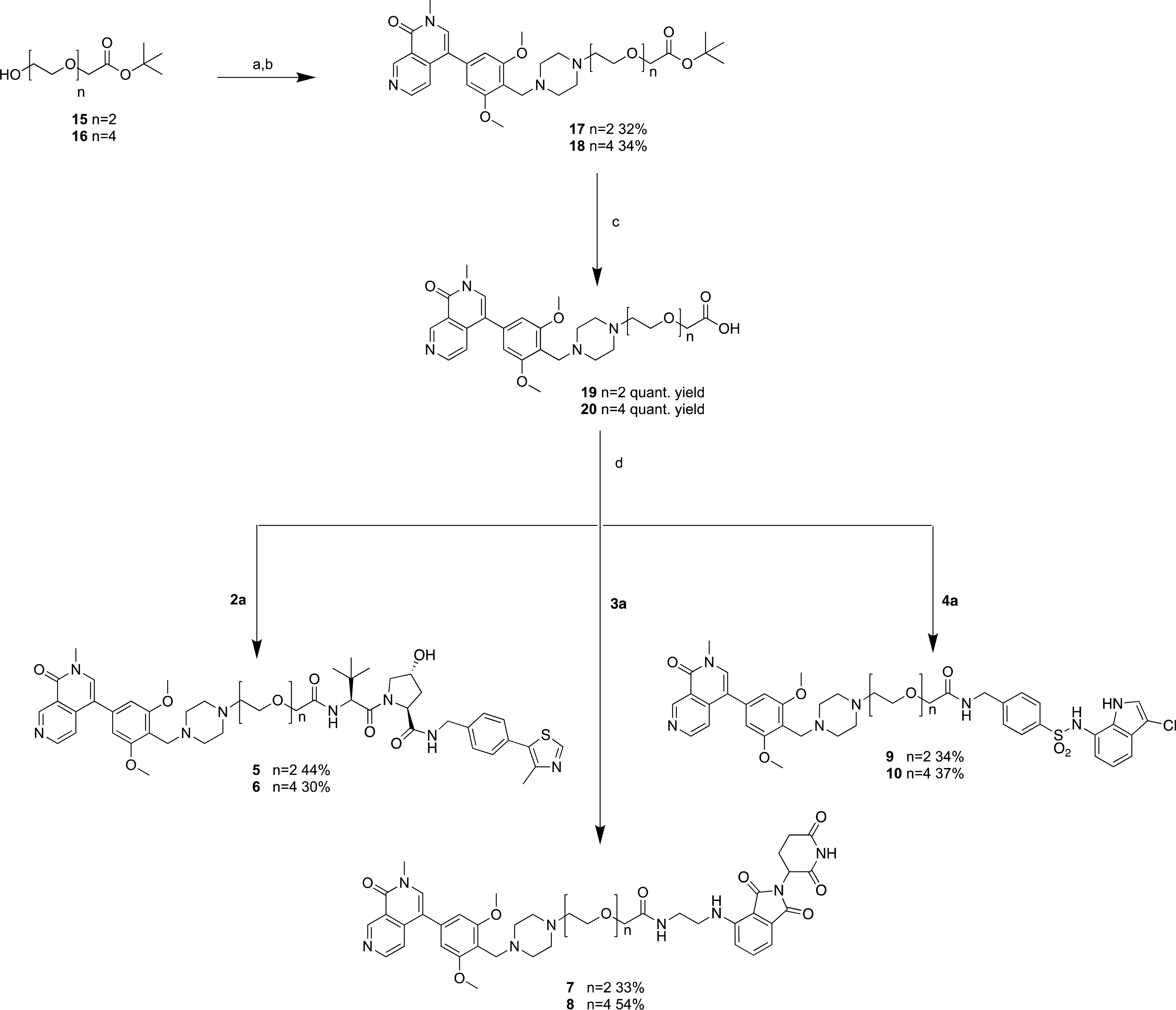
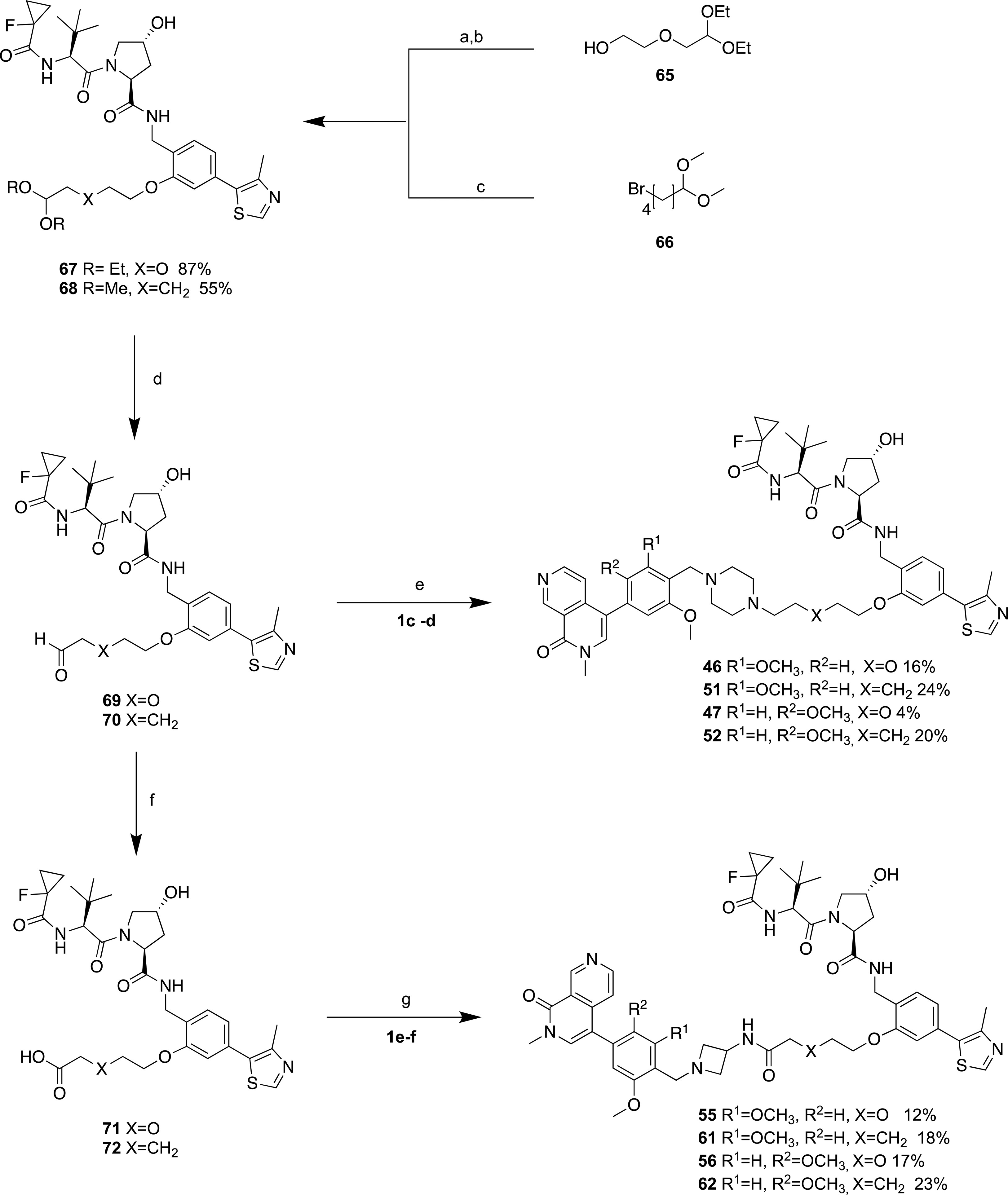
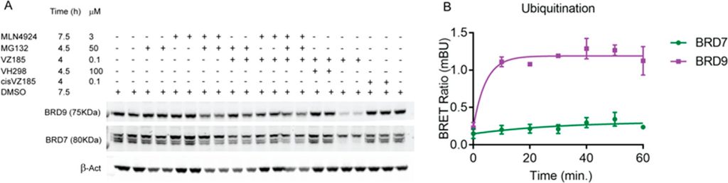
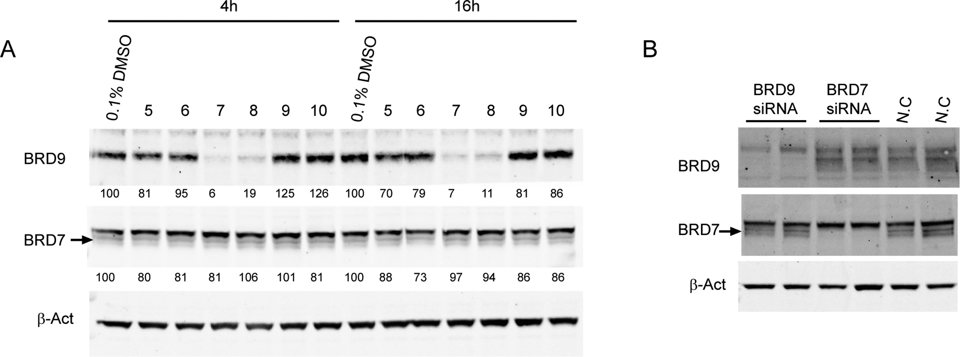
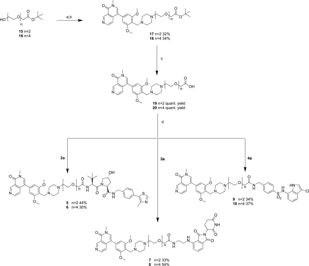
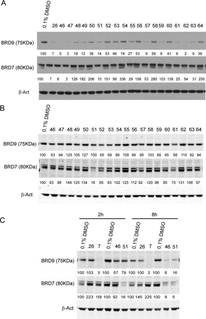
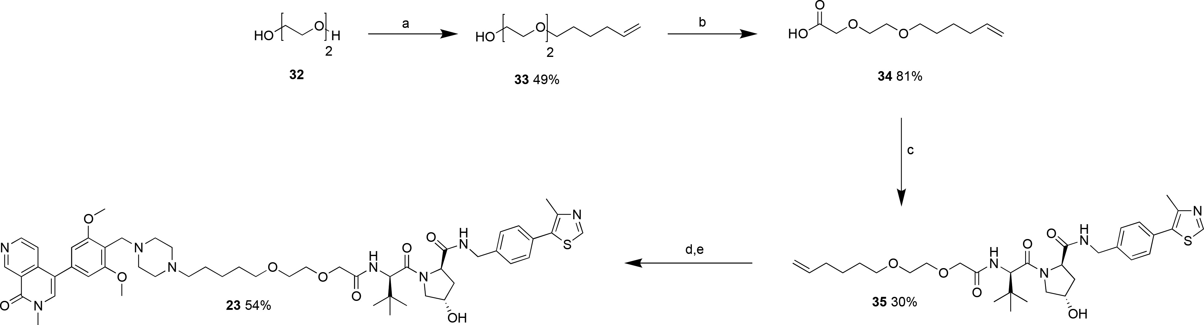
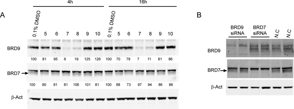
Our SAR story disclosing dual Brd7/9 PROTAC degrader VZ185 is published in J. Med. Chem.
Congratulations to Vittoria, Scott, Chiara and Andrea, and all our collaborators for their contributions to this work!
Our SAR story disclosing dual Brd7/9 PROTAC degrader VZ185 is published in J. Med. Chem.
Congratulations to Vittoria, Scott, Chiara and Andrea, and all our collaborators for their contributions to this work!